I risultati deludenti del più discusso test del sangue per la diagnosi precoce del cancro
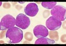
Dopo un'ampia sperimentazione, "Galleri" non ha portato i risultati sperati, sollevando nuovi dubbi su questo approccio alla prevenzione

Dopo un'ampia sperimentazione, "Galleri" non ha portato i risultati sperati, sollevando nuovi dubbi su questo approccio alla prevenzione

È un fenomeno osservato da anni, tornato d'attualità per la morte di James Van Der Beek: ma non ci sono ancora spiegazioni convincenti

Un gruppo di ricerca australiano ha trovato una risposta a un nesso noto da tempo: c'entra il sistema immunitario

La qualità delle terapie non c'entra: bisogna guardare soprattutto all'adesione alle campagne di prevenzione

Perché sensibilizzano sull'importanza di metterla anche nei contesti in cui è meno usata, come le città: a Pisa ci hanno pensato

Le biopsie liquide sono considerate una nuova importante frontiera per rilevare per tempo le recidive di alcune forme di cancro, ma possono dare falsi positivi e negativi che condizionano la qualità della vita dei pazienti

L’idea dell'assessore Bertolaso prevede ski pass, cure termali e biglietti di eventi in regalo a chi partecipa ai programmi di screening

In 30 anni quelli tra chi ha meno di 50 anni sono aumentati di quasi l'80 per cento, ma non abbiamo ancora capito perché

E a che punto è la ricerca per svilupparli, tra importanti progressi, imprevisti e ostacoli molto difficili da superare

Chi è guarito da un tumore ha spesso difficoltà con prestiti, assicurazioni e adozioni, ma un disegno di legge propone di stabilire dei limiti

La Corte d'Appello di Torino ha confermato la sentenza su un “nesso di causalità” tra telefonini e tumori, benché non ci siano ancora prove scientifiche chiare


Eppure funzionano lo stesso, a dimostrazione che alcuni loro meccanismi non ci sono ancora chiari e che potremmo fare molto meglio, spiega una nuova ricerca



Ci sono nuove preoccupazioni sul presunto legame tra un linfoma e le protesi impiantate in milioni di donne in tutto il mondo

Una "biopsia liquida" con un esame del sangue permette di identificare 8 diversi tipi di tumore, con risultati molto promettenti

Il pembrolizumab aiuta il sistema immunitario a trovare le cellule cancerose e a distruggerle, ma per ora funziona solo nelle persone con particolari anomalie genetiche

Alcuni ricercatori australiani ne hanno trovato uno in un fossile di 1,7 milioni di anni fa: è una scoperta che va contro l'idea che il cancro sia una malattia “moderna”

È stato ridotto il suo livello di rischio: ci sono però notizie meno buone per chi ama in generale le bevande molto calde
