Che cosa mi ha punto?
Una guida rapida - SGRAT - alle punture più comuni - SGRAT - di insetto e non solo, adesso che è stagione - SGRAT

In estate ci sono più Sole, caldo, ore di luce e insetti. Molti più insetti. Il loro metabolismo dipende dalla temperatura esterna e nel periodo estivo, grazie alla maggiore energia termica disponibile, diventano più attivi. È un bene per interi ecosistemi, dall’impollinazione alla possibilità per altri animali come pesci e uccelli di nutrirsi, ma a volte può essere un problema per chi vuole concedersi una passeggiata o qualche altro tipo di attività all’aperto. Tra zanzare, zecche, vespe e tafani, per citarne solo alcuni, c’è il rischio di rimediare una puntura che può essere fastidiosa o un serio pericolo per la salute. Non sempre è possibile riconoscere l’insetto che l’ha causata, e questo può rendere difficile capire se preoccuparsene o meno.
Zanzara
La puntura estiva più comune è quella di zanzara, banalmente perché ce ne sono in circolazione enormi quantità nella stagione calda ed è quindi più probabile diventare una loro preda. Si nutrono di sangue solamente le zanzare femmine, perché hanno bisogno delle proteine contenute nel sangue per produrre le uova, i maschi non pungono e si nutrono di nettare.
Il pomfo, cioè il piccolo rigonfiamento sulla pelle, causato da una puntura di zanzara è di solito facilmente riconoscibile: nei primi minuti è biancastro con i margini lievemente più scuri, poi diventa rosa acceso in seguito alla reazione del sistema immunitario, che fa infiammare l’area per contrastare gli effetti delle sostanze iniettate dalla zanzara con la sua saliva, che ha un effetto anestetizzante e anticoagulante (altrimenti il sangue intaserebbe la proboscide della zanzara). Il pomfo prude da subito e impiega in media tre-quattro giorni per sparire: di solito non prude in continuazione, ma a intervalli e spesso se viene sollecitato in qualche modo, per esempio a causa di un forte sfregamento.
Subito dopo la puntura si può intervenire applicando del ghiaccio per ridurre il fastidio, oppure si può applicare per qualche secondo del calore in modo molto localizzato (ci sono alcuni dopo-puntura elettrici per farlo): questo smonta (denatura) le proteine che causano la reazione del sistema immunitario e aiuta ad avere sollievo più rapidamente. In Italia una puntura di zanzara non è quasi mai preoccupante, mentre può esserlo in aree del mondo dove sono presenti malattie diffuse dalle zanzare come la malaria.
Zecca
Il morso della zecca (che è un aracnide, non un insetto) è di solito tra i più subdoli, perché è quasi sempre indolore e raramente porta prurito. Ci si accorge di essere stati morsi o perché si nota la zecca ancora attaccata alla propria pelle, oppure per via del particolare segno che in caso di infezione compare un po’ di tempo dopo il morso (ma non sempre ce n’è uno vistoso). Le zecche sono in forte aumento in molte zone d’Italia, e per questo è raccomandato controllare attentamente il proprio corpo nudo dopo una passeggiata in montagna.
Nel caso in cui la zecca sia ancora attaccata non va né schiacciata né sfilata con le dita: si devono usare delle pinzette facendole aderire il più possibile alla pelle e sfilare delicatamente i rostri che la zecca usa per rimanere attaccata. Se lo si fa troppo velocemente o si schiaccia la zecca, c’è il rischio che questa rigurgiti sostanze pericolose attraverso la pelle.
Il pomfo senza zecca talvolta mostra una piccola crosta al centro dovuta al morso. Nei giorni successivi si sviluppa a volte un’eruzione cutanea più vistosa: se vedete una caratteristica forma a bersaglio, con il pomfo iniziale al centro, un anello di pelle apparentemente normale e uno arrossato è meglio consultare un medico, potrebbe esserci qualche altra infezione causata dal morso.
A seconda della parte del corpo interessato, lo sfogo cutaneo può essere molto grande e di solito dura qualche giorno, anche se in alcune persone si presenta per poche ore. Si risolve da solo e nella maggior parte dei casi non lascia conseguenze, ma è importante verificare che non si presentino sintomi come febbre e dolore alle articolazioni, che potrebbero indicare un’infezione da malattia di Lyme, che viene trasmessa da questi aracnidi. Nel caso è importante consultare quanto prima un medico.
Vespe, calabroni e api
È difficile non ricondurre questo tipo di punture alle loro cause, più che altro perché il dolore è pressoché istantaneo e nei primi minuti molto più intenso rispetto a quello delle punture di altri insetti. Nel caso delle api spesso si nota una piccola spina conficcata nella pelle: è il pungiglione, che l’ape ha perso per difendere la colonia e che causerà anche la sua morte; deve essere rimosso per evitare che faccia infezione. Le vespe (e solo le femmine) hanno invece un aculeo retrattile, quindi non muoiono dopo aver punto qualcuno. Il calabrone è una specie di vespa, vale lo stesso discorso.
In generale, le api sono insetti miti e devono sentirsi veramente in pericolo per arrivare a pungere: la percezione del pericolo può derivare da una reazione scomposta quando ci si sente un’ape ronzare vicino. Lo stesso discorso vale anche per le vespe, che in genere tendono comunque a essere un po’ più aggressive, soprattutto se sentono minacciato il loro territorio; i calabroni sono più indifferenti alla nostra presenza.
La fase dolorosa più intensa dura un paio d’ore, poi si riduce e scompare in 2-3 giorni. L’area della pelle interessata si gonfia e se la puntura è avvenuta sugli arti si può avvertire un lieve intorpidimento, dovuto all’irritazione dei nervi che percorrono l’area. Subito dopo la puntura è consigliabile lavare la parte interessata con acqua fredda e sapone e fare poi degli impacchi di ghiaccio, di 10-15 minuti una o più volte al giorno, per ridurre il dolore. Si possono anche usare pomate cortisoniche o con antistaminico disponibili in farmacia. In alcune persone le punture di questo tipo possono causare gravi reazioni allergiche: in caso di difficoltà a respirare, capogiri, nausea e altri sintomi di shock è importante chiamare subito il 112.
Ragni
La stragrande maggioranza dei ragni è innocua e totalmente indifferente alla nostra esistenza, tuttavia ci sono alcune specie che se si sentono minacciate mordono per difendersi. In Italia per un certo periodo si è parlato molto del “ragno violino” (Loxosceles rufescens), che è abbastanza comune, ma che non deve essere fonte di preoccupazione per chi non è allergico o particolarmente sensibile al morso di ragni e insetti.
Di solito un morso di ragno si presenta con un piccolo puntino rosso sulla pelle, simile a quello causato dagli insetti, accompagnato da prurito e bruciore che si risolve entro una settimana. Le eventuali vesciche che si producono non devono essere bucate, perché si potrebbe creare un’infezione. C’è la convinzione che i morsi dei ragni siano facilmente distinguibili perché accompagnati da due segni molto vicini lasciati sulla pelle, per via di come sono fatte le loro mandibole. In realtà a occhio nudo è pressoché impossibile distinguerli e se si vede qualcosa è più probabile che il ragno abbia morso più di una volta. Come per altre punture, se si hanno sintomi strani o la pelle cambia colore diventando livida e sempre più scura è bene consultare un medico.
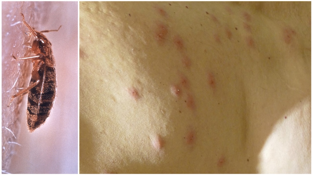
Cimici dei letti
Le cimici dei letti si nutrono del sangue di diversi animali, compresi gli esseri umani, e come suggerisce il nome sono assidue frequentatrici dei materassi. In Italia e in generale in Europa non sono molto diffuse, anche se periodicamente si registrano casi di infestazioni paragonabili a quelle che storicamente sono state registrate in varie parti degli Stati Uniti.
Il morso di una cimice dei letti è simile per grandezza a quello di una zanzara, non fosse che a differenza di quest’ultimo se ne hanno molti di più e ravvicinati sulla pelle. Le cimici dei letti si muovono in gruppo, percorrono la pelle mentre si dorme e si attaccano per qualche secondo per succhiare il sangue. Il risultato è una piccola costellazione di punture di solito sulle gambe o sul tronco, che in poco tempo iniziano a prudere molto; ogni pomfo può presentare un piccolo pallino scuro al centro o una chiazza più chiara.
I pomfi causati dalle cimici dei letti sono molto fastidiosi, ma in genere non sono pericolosi, se non nelle persone allergiche. Si risolvono da soli, ma può essere necessaria anche più di una settimana perché i segni spariscano e soprattutto smettano di prudere. Le pulci producono effetti simili, soprattutto nei piedi e nelle caviglie.
Tafani
I tafani sono parenti delle mosche e talvolta confusi con i “mosconi”, cioè con tutte quelle mosche che chiamiamo così per via delle loro grandi dimensioni e che però sono innocue per gli umani. I tafani si nutrono di nettare per buona parte del loro ciclo vitale, ma le femmine hanno bisogno di mangiare sangue per avere le proteine e le energie necessarie per portare a termine la maturazione delle loro uova.
I tafani non pungono, ma mordono lacerando la pelle con le loro mandibole affilate e taglienti per far uscire qualche goccia di sangue di cui nutrirsi. Il morso è da subito doloroso ed è spesso ripetuto più volte: questi insetti diventano molto aggressivi quando hanno bisogno di riprodursi. Nella loro saliva è contenuto un anticoagulante, che innesca una reazione da parte del nostro sistema immunitario e che solo raramente può essere la causa di reazioni allergiche. L’area appare arrossata e gonfia, a volte con una tumefazione estesa, accompagnata da un forte bruciore e prurito. La fase acuta dura pochi minuti, mentre l’arrossamento scompare dopo circa tre giorni e il prurito entro una settimana. Il pomfo può essere visibile anche a dieci giorni di distanza.
Come per altre punture e morsi di insetti, per ridurre il dolore si possono fare impacchi di ghiaccio più volte al giorno, o applicare creme antistaminiche o cortisoniche. La ferita va tenuta pulita per evitare infezioni.
Formiche rosse
In Italia non ci sono specie di formiche rosse particolarmente pericolose per la salute. Se si sentono minacciati, questi insetti si difendono mordendo con le loro mandibole e in alcuni casi pungono usando il loro pungiglione, che inietta una piccola quantità di veleno.
La formica rossa europea (Myrmica rubra) è tra le più diffuse in Europa e in Italia: la si riconosce perché è lunga poco meno di mezzo centimetro e per via delle sue lunghe antenne. Morde facilmente se viene disturbata e porta alla produzione di piccole pustole bianche contornate di rosso, che diventano poi più scure. A seconda dei casi, l’effetto può durare qualche minuto o protrarsi più a lungo, con una completa risoluzione entro un paio di giorni.
Scorpioni
Quando si pensa agli scorpioni vengono subito in mente punture pericolosissime e letali. In realtà gli scorpioni che vivono in Italia, e in buona parte dell’Europa, appartengono a specie di piccole dimensioni, decisamente diffidenti di animali grandi come gli esseri umani e quindi raramente aggressive. Lo scorpione italiano comune (Euscorpius italicus) è marrone scuro o nero e non supera i 5 centimetri di lunghezza.

Scorpione (Wikimedia, La Presse Médicale)
Se si sentono decisamente minacciati, questi scorpioni reagiscono facendo scattare la loro coda che termina con un aculeo che contiene una ghiandola che produce veleno (in realtà la loro “coda” è semplicemente un prolungamento dell’addome). Il veleno è di per sé blando, ma ha comunque effetti dolorosi paragonabili a una puntura di un’ape e anche l’aspetto del segno è simile: punto rosso centrale, gonfiore intorno e indolenzimento che può propagarsi per qualche tempo. La puntura si risolve da sola di solito senza complicazioni entro un paio di giorni e di rado causa la produzione di vescicole o pustole. Ghiaccio e antidolorifici possono ridurre i sintomi.










